腰椎爆裂性骨折是一种很是严重的脊柱创伤性损伤,,,,常由于交通事故、高空坠落等高能量暴力外伤导致;;当骨折的椎体向后移位或骨片突入椎管时,,,,会造成脊髓、硬膜囊、神经根(马尾)损伤,,,,稍微的症状会泛起腰部疼痛及下肢功效受限,,,,严重者会造成爆裂性骨折平面以下的肢体瘫痪。。。。
不久前,,,,我院创伤骨科收治了一位特殊的患者—周女士,,,,该患者入院前约7小时在家失慎从楼上坠落,,,,连忙泛起胸腰背部疼痛不适伴双下肢感受及活动能力损失,,,,家人急送至外地医院就诊,,,,行摄片检查提醒:L1椎体前、中、后柱骨折,,,,椎体后缘骨块后移伴椎管狭窄,,,,建议手术治疗;;患者及眷属为求进一步治疗,,,,联系俞德亮副主任医师远程会诊后转入我院。。。。
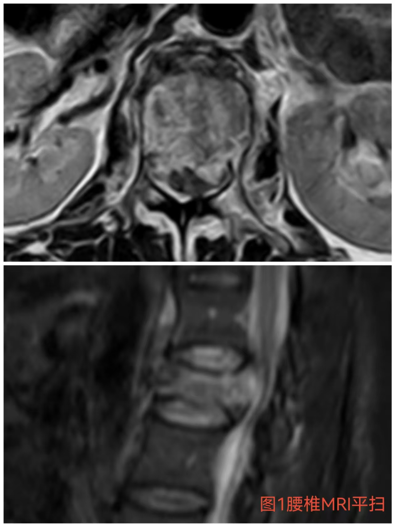
入院时患者躺在床上不可转动,,,,眼神中透漏着深深的无助,,,,关于她来说这种伤情无疑是极重的,,,,尤其是腹股沟以下感受消逝、双下肢肌力0级,,,,这意味着其下肢无法活动及站立,,,,似乎被运气按下了暂停键;;与病人及眷属充分相同病情后,,,,第一时间给予对症治疗,,,,监测患者生命体征,,,,行腰椎核磁检查(图1)提醒:腰1椎体爆裂性骨折,,,,椎体后缘塌陷致骨性椎管狭窄,,,,榨取脊髓神经,,,,连系患者病情及辅助检查可诊断为:“L1椎体爆裂性骨折伴双下肢截瘫”。。。。


俞德亮副主任医师深知病情的严重性,,,,拖得时间越久,,,,脊髓神经损伤症状越难以恢复,,,,必需掌握住早期减压手术的要害时间窗,,,,紧迫向导创伤骨科医师团队对该病情举行讨论、制订手术方案,,,,并乐成为患者急诊行“L1椎体爆裂性骨折伴截瘫切开椎板切除+椎管探查减压+骨折复位钉棒系统内牢靠术(图2)”,,,,该手术准确扫除对脊髓神经的榨取,,,,并通过椎弓根螺钉内牢靠系统对受损的腰椎提供稳固的支持,,,,为后期的康复创立了优异的条件。。。。

术后周女士双下肢感受及肌力有所恢复,,,,虽然康复的蹊径还很漫长,,,,但这次乐成的手术和起源恢复带来了希望,,,,也让她充满了重新站起来、回归正常生涯的信心。。。。
